ABC Heart Fail Cardiomyop 2021; 1(2): 115-119
Ressonância Magnética Cardíaca e Amiloidose: Como ela pode Ajudar no Raciocínio Clínico?
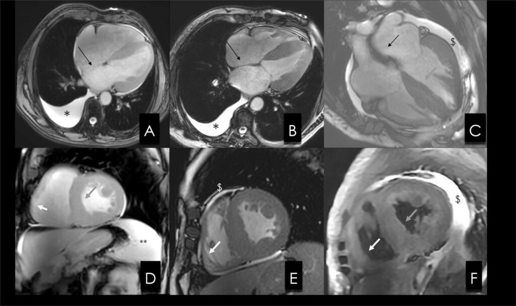
A real incidência de amiloidose cardíaca (AC) ainda é desconhecida e, ao menos em parte, isso se deve às dificuldades para confirmar o diagnóstico. Atualmente, porém, os diferentes exames de imagem e de genética podem, em associação com a apresentação clínica, confirmar o diagnóstico. A ressonância magnética cardíaca (RMC) pode contribuir para a confirmação diagnóstica e, mais recentemente, para o rastreio de familiares de portadores das formas hereditárias de AC.1 , 2 Neste artigo iremos rever as contribuições da RMC diante da suspeita ou do rastreio de AC, iniciando por rever as informações que o exame oferece e, em seguida, discutindo os cenários clínicos nos quais a RMC pode ser mais útil.
[…]
Palavras-chave: Amiloidose; Função Ventricular; Insuficiência Cardíaca
471

